Want to track your progress? You can complete this SAQ as a guest, but logging in lets you save attempts, review scores, and see your progress by category. Log in or create an account .

A 10-year-old girl presents to your District Hospital ED with lethargy, subjective fevers, vomiting, diarrhoea and upper abdominal pain worsening over 1 week. She has no background history of note and has been otherwise well apart from a recent URTI. She is taken directly to resus as she is very lethargic, pale and ashen coloured. Vitals : GCS 13, HR 120, SBP 80/-, RR 22, Sats 92%RA, Temp 36.5 Clinical findings : CR 4secs centrally, HSDNM ?S3 Moderate accessory muscle use, Occ scattered crepitations bilat Palpable liver edge 3-4 cm below costal margin, Slight tenderness RUQ otherwise soft / non-tender

10yo lethargic after recent URTI

1. Give (3) salient findings on the ECG 3 marks

β˜… β˜… β˜… β˜… β˜…

2. What’s your overall impression of this case? 1 mark

β˜… β˜… β˜… β˜… β˜…

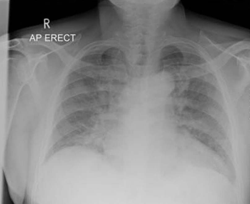
A CXR was obtained.

3. Give (2) salient findings from the chest xray and your interpretation 3 marks

Question image
β˜… β˜… β˜… β˜… β˜…

4. What is your differential diagnosis? 5 marks

β˜… β˜… β˜… β˜… β˜…

5. List and justify (6) further investigations you would order 6 marks

β˜… β˜… β˜… β˜… β˜